症例写真

症例写真

目のたるみを除皺術で改善

目のクマ・くぼみ・たるみ 60代 / 女性
施術内容
下眼瞼切開術/下眼瞼除皺術/ハムラ法

下眼瞼のクマ治療で、皮膚のたるみや小皺がある方ですと、下眼瞼除皺、もしくはハムラ法が適応となります。
今回は下眼瞼除皺と脱脂によるクマ治療を行いました。

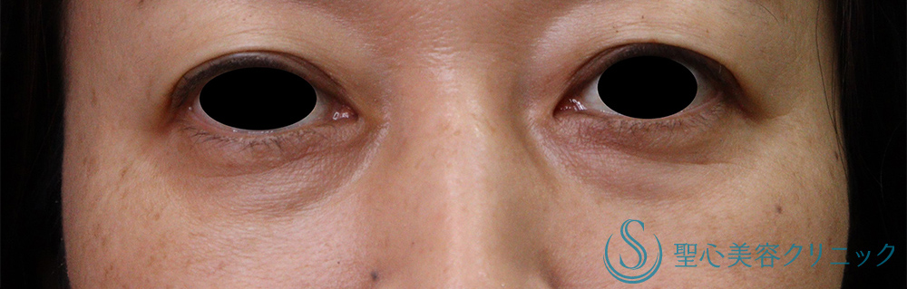
下眼瞼切開術/下眼瞼除皺術/ハムラ法_Before
Before
下眼瞼切開術/下眼瞼除皺術/ハムラ法_After
After(術後3ヶ月)
下眼瞼の凹凸がなくなり、ツルッとしたお目元に。
脱脂のみではしわ、たるみが確実に増えますが、皮膚も少量切除することで、すっきりします。
まつ毛のすぐ下を切開するため、傷もほぼわかりません。
クマ治療は様々な方法があるります。
カウンセリングでどの施術が適応となるかしっかり相談しましょう。
私のオフィシャルブログ、インスタグラムもあわせてご参考ください。
https://ameblo.jp/seishin-kawabata/entry-12754715731.htmlhttps://www.instagram.com/seishin_kawabata/
銀座院 横浜院医師
銀座院 横浜院医師
川端 優也 医師

下眼瞼切開術/下眼瞼除皺術/ハムラ法

処置方法 皮膚切除し、症状に応じて眼窩脂肪を適量切除し、隔膜を頬骨に固定する。
リスク・副作用 術後の浮腫、痛み、内出血、結膜出血、結膜浮腫、下眼瞼外反症、傷痕、一時的な流涙やドライアイ、目尻の引き攣れ、異常知覚症、tear troughの増強、色素沈着
費用 430,000円

合計金額/430,000円(473,000円)

※()内は税込みの金額です。

※料金、リスク・副作用、施術内容は登録時点での情報となります。最新の情報はクリニックへお問い合わせください。

「下眼瞼切開術/下眼瞼除皺術/ハムラ法」を
もっと知りたい方はこちら