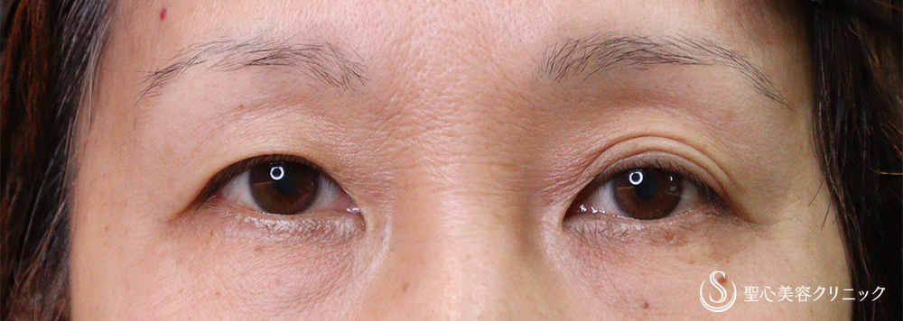
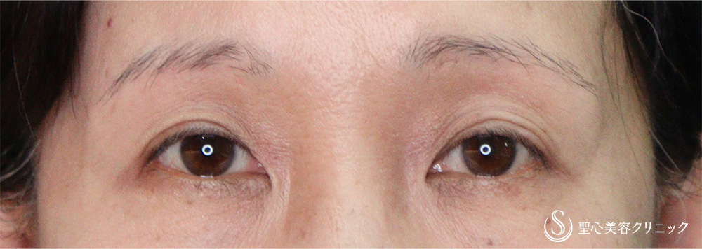
まぶたのたるみ
目のクマ・くぼみ・たるみ
30代 /
女性
- 施術内容
- 眉下切開法(眉下リフト)
瞼のたるみに対して、眉下切開を行いました。
重みが取れてスッキリしました。
二重のラインは浅いので、今後、二重術を検討しています。
二重のラインは浅いので、今後、二重術を検討しています。
医師
眉下切開法(眉下リフト)
| 処置方法 | デザインに沿って皮膚切除。場合によって眼輪筋切除や、皮下剥離などの処理を行なう。非吸収糸で形態を調節しながら皮下、皮膚を縫合する。 |
|---|---|
| リスク・副作用 | 術後の浮腫、痛み、内出血、血腫、シスト形成、肥厚性瘢痕、眉毛変形、引き攣れ、閉瞼障害、二重の消失、変形。 |
| 費用 | 300,000円 |
合計金額/300,000円(330,000円)
※()内は税込みの金額です。
※料金、リスク・副作用、施術内容は登録時点での情報となります。最新の情報はクリニックへお問い合わせください。





